Synchronous Uterine Dedifferentiated Endometrioid Carcinoma and Ovarian Brenner Tumor: An Extremely Unusual Concurrence
DISCOVERIES REPORTS (ISSN 2393249X), 2026, volume 9

ORIGINAL ARTICLE

ARTICLE (pdf)  DOI: 10.15190/drep.2026.3

GO BACK to 2026, VOLUME 9

CITATION: Gurjar P, Nishith N, Sancheti S, Somal P, Sharma A, Nongthombam G, Pawar RN, Prasad P. Rare Presentation of Adult T-cell Leukaemia/Lymphoma Mimicking Hodgkin Lymphoma: A Case Report. Discoveries Reports 2026; 9(1): e50. DOI: 10.15190/drep.2026.5

Rare Presentation of Adult T-cell Leukaemia/Lymphoma Mimicking Hodgkin Lymphoma: A Case Report

Zachariah Chowdhury 1,2, Paramita Rudra Pal 1,2, *, Neha Singh 1,2, Ajita Verma 1,2

1 Department of Oncopathology, Homi Bhabha Cancer Hospital (HBCH) and Mahamana Pandit Madan Mohan Malviya Cancer Centre (MPMMCC), Sundarpur, Varanasi, India 

2 Tata Memorial Centre, Homi Bhabha National Institute (HBNI), Varanasi, India

Corresponding author: Dr. Paramita Rudra Pal, Department of Oncopathology, Mahamana Pandit Madan Mohan Malviya Cancer Centre (MPMMCC) Sundar Bagiya Colony, Sundarpur, Varanasi, UttaPradesh, India; Email: imtiazbashir7@gmail.com

Abstract

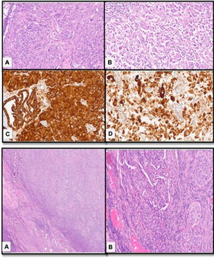
Dedifferentiated endometrial carcinoma (DEC) is a rare and aggressive subtype of endometrial cancer characterized by the coexistence of differentiated and undifferentiated tumor components. We report a case of synchronous DEC and a benign ovarian Brenner tumor in a 68-year-old postmenopausal woman presenting with abnormal uterine bleeding. Histopathological examination revealed a biphasic tumor composed of FIGO grade 2 endometrioid carcinoma and an undifferentiated carcinoma with rhabdoid features. The tumor was accurately staged as pT1aN0, corresponding to FIGO stage IA. This case highlights limitations of endometrial biopsy in diagnosing DEC due to under-sampling of the undifferentiated component. Immunohistochemistry showed diffuse cytokeratin positivity and moderate estrogen receptor expression with retained INI1 and wild-type p53. The coexistence of DEC with a benign ovarian Brenner tumor is exceptionally rare and poses diagnostic and pathogenetic considerations.

Access FULL text of the manuscript here: ARTICLE (pdf)  

DOI: 10.15190/drep.2026.3


REFERENCES

1. World Health Organization. (‎2021)‎. Human T-lymphotropic virus type 1: technical report. World Health Organization. https://iris.who.int/handle/10665/339773. License: CC BY-NC-SA 3.0 IGO 

2. Katsuya H, Ishitsuka K, Utsunomiya A, Hanada S, Eto T, Moriuchi Y, Saburi Y. ATL-Prognostic Index Project. Treatment and survival among 1594 patients with ATL. Blood. 2015 Dec 10;126(24):2570-7. doi: 10.1182/blood-2015-03-632489. PMID: 26361794. 

3. Karube K, Takatori M, Sakihama S, Tsuruta Y, Miyagi T, Morichika K. Clinicopathological features of adult T-cell leukemia/lymphoma with HTLV-1-infected Hodgkin and Reed-Sternberg-like cells. Blood Adv. 2021 Jan 12;5(1):198-206. doi: 10.1182/bloodadvances.2020003201. PMID: 33570645; PMCID: PMC7805330. 

4. Ohshima K, Kikuchi M, Yoshida T, Masuda Y, Kimura N. Lymph nodes in incipient adult T-cell leukemia-lymphoma with Hodgkin's disease-like histologic features. Cancer. 1991 Mar 15;67(6):1622-8. doi: 10.1002/1097-0142(19910315)67:6<1622::aid-cncr2820670625>3.0.co;2-1. PMID: 2001551. 

5. Bittencourt AL, Andrade AC, Requião C, Arruda MD, Araújo I. Prolonged lymphocytosis as the first manifestation of Hodgkin-like adult T-cell leukemia/lymphoma. Braz J Infect Dis. 2017 Jan-Feb;21(1):119-122. doi: 10.1016/j.bjid.2016.09.005. PMID: 27789281; PMCID: PMC9425504. 

6. Venkataraman G, Berkowitz J, Morris JC, Janik JE, Raffeld MA, Pittaluga S. Adult T-cell leukemia/lymphoma with Epstein-Barr virus-positive Hodgkin-like cells. Hum Pathol. 2011 Jul;42(7):1042-6. doi: 10.1016/j.humpath.2010.10.014. PMID: 21315416; PMCID: PMC3118938. 

7. Ohshima K, Suzumiya J, Kato A, Tashiro K, Kikuchi M. Clonal HTLV-I-infected CD4+ T-lymphocytes and non-clonal non-HTLV-I-infected giant cells in incipient ATLL with Hodgkin-like histologic features. Int J Cancer. 1997; 72: 592-598. 

8. Ohshima K, Karube K, Hamasaki M, Suefuji H, Tutiya T, Yamaguchi T, Suzumiya J, Kikuchi M. Imbalances of chemokines, chemokine receptors and cytokines in Hodgkin lymphoma: classical Hodgkin lymphoma vs. Hodgkin-like ATLL. Int J Cancer. 2003 Sep 20;106(5):706-12. doi: 10.1002/ijc.11301. PMID: 12866030. 

9. Nakaya Y, Yoshida M, Tsutsumi M, Fuseya H, Horiuchi M, Yoshimura T et al. Hodgkin-like adult T-cell leukemia/lymphoma that developed during the follow-up of HTLV-1 associated myelopathy/tropical spastic paraparesis. J Clin Exp Hematop. 2019 Sep 30;59(3):130-134. doi: 10.3960/jslrt.19010. PMID: 31391405; PMCID: PMC6798146. 

10. Keller FG, Kahl B, Friedberg JW. Current directions in the treatment of classical Hodgkin lymphoma. EJHaem. 2023 Sep 29;4(4):908-911. doi: 10.1002/jha2.784. PMID: 38024613; PMCID: PMC10660392.