A Rare Presentation of Adult Ileo-ileal Intussusception with Trans-anal Protrusion Secondary to Inflammatory Fibroid Polyp:  A Case Report
DISCOVERIES REPORTS (ISSN 2393249X), 2026, volume 9

ORIGINAL ARTICLE

ARTICLE (pdf)  DOI: 10.15190/drep.2026.4

GO BACK to 2026, VOLUME 9

CITATION: Tariq D, Saadat S, Billah M, Akram MB. A Rare Presentation of Adult Ileo-ileal Intussusception with Trans-anal Protrusion Secondary to Inflammatory Fibroid Polyp: A Case Report. Discoveries Reports 2026; 9(1): e49. DOI: 10.15190/drep.2026.4

A Rare Presentation of Adult Ileo-ileal Intussusception with Trans-anal Protrusion Secondary to Inflammatory Fibroid Polyp:  A Case Report

Daman Tariq 1,*, Saud Saadat 2, Moatsim Billah 3, Muhammad Bilal Akram 1

Quaid e Azam medical College, Bahwalpur, Pakistan. 

2 Shalamar Medical and Dental College, Lahore, 54000, Pakistan 

3 Department of Surgery, Mayo Hospital, Lahore, Pakistan 

*Corresponding author: Dr. Daman Tariq, Quaid e Azam Medical College, Bahwalpur, 63100, Pakistan. Email: damanshahzadi101@gmail.com; ORCID: 0009-0004-4787-1142

Abstract

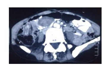
Adult intussusception is an uncommon cause of intestinal obstruction, accounting for less than 5% of cases. Unlike pediatric cases, adult intussusception is usually associated with an identifiable pathological lead point. Trans-anal protrusion of intussusception (TAPI) is exceptionally rare in adults and may mimic rectal prolapse, leading to delayed diagnosis. Inflammatory fibroid polyp (IFP) is a rare benign gastrointestinal lesion and an unusual cause of small bowel intussusception.     A 50-year-old woman presented with a cyanosed pedunculated mass protruding through the anus for three hours, along with a one-month history of hypogastric pain, nausea, vomiting, and weight loss. She had recently been diagnosed with pulmonary tuberculosis and was receiving anti-tuberculous therapy. Laboratory tests revealed leukocytosis and anemia. Ultrasonography suggested intestinal obstruction, while contrast-enhanced CT showed a target sign in the right lower abdomen consistent with ileoileal intussusception. The patient underwent urgent exploratory laparotomy with reduction of the intussusception followed by right hemicolectomy due to suspected malignancy. Histopathology confirmed a 5.7-cm inflammatory fibroid polyp of the ileum with reactive lymphadenopathy. The postoperative course was uneventful, and the patient recovered well at three-month follow-up.     Transanal protrusion of adult ileoileal intussusception secondary to inflammatory fibroid polyp is an extremely rare surgical emergency. Early recognition, appropriate imaging, and prompt surgical management are essential for favorable outcomes.

Access FULL text of the manuscript here: ARTICLE (pdf)  DOI: 10.15190/drep.2026.4


REFERENCES

11.  Umar M, Stephen Y, Aminu U, Adogu I. Prolapsed ileocolic intussusception in an adult: A bizarre presentation leading to delayed diagnosis in a low resource setting. Research Journal of Health Sciences. 2021 Apr 13;9(2):115-20. 

2. Kalani A, Alvandipour M. Ileorectal intussusception in an adult: a case report of an anal mass. Gastroenterology Report. 2023 Jan 1;11:goad067. 

3. Obiora EU, Okwuchukwu ES, Ogundu II. Transanal protrusion of intussusceptions in children. African Journal of Paediatric Surgery. 2014 Jul 1;11(3):229-32. 

4. Frydman J, Ben-Ishay O, Kluger Y. Total ileocolic intussusception with rectal prolapse presenting in an adult: a case report and review of the literature. World Journal of Emergency Surgery. 2013 Sep 23;8(1):37. 

5. Hong KD, Kim J, Ji W, Wexner SD. Adult intussusception: a systematic review and meta-analysis. Techniques in coloproctology. 2019 Apr 1;23(4):315-24. 

6. Marsicovetere P, Ivatury SJ, White B, Holubar SD. Intestinal intussusception: etiology, diagnosis, and treatment. Clinics in colon and rectal surgery. 2017 Feb;30(01):030-9. 

7. Basu S. Trans-anal protrusion of intussusception (TAPI) revisited: managed successfully in a resource limited hospital setting. International Surgery Journal. 2019;6(1):310-3. 

8. Yalamarthi S, Smith RC. Adult intussusception: case reports and review of literature. Postgraduate Medical Journal. 2005 Mar;81(953):174-7. 

9. Zubaidi A, Al-Saif F, Silverman R. Adult intussusception: a retrospective review. Diseases of the colon & rectum. 2006 Oct 1;49(10):1546-51. 

10. Garmpis N, Damaskos C, Garmpi A, Georgakopoulou VE, Sakellariou S, Liakea A, Schizas D, Diamantis E, Farmaki P, Voutyritsa E, Syllaios A. Inflammatory fibroid polyp of the gastrointestinal tract: a systematic review for a benign tumor. in vivo. 2021 Jan 1;35(1):81-93. 

11. T. Chand J, R R, Ganesh MS. Adult intussusception: a systematic review of current literature. Langenbeck's Archives of Surgery. 2024 Jul 31;409(1):235. 

12. Panzera F, Di Venere B, Rizzi M, Biscaglia A, Praticò CA, Nasti G, Mardighian A, Nunes TF, Inchingolo R. Bowel intussusception in adult: prevalence, diagnostic tools and therapy. World Journal of Methodology. 2021 May 20;11(3):81.